
不久前的一次专家门诊中,江苏省人民医院眼科教研室副主任、陈雪副主任医师接诊了一位还在读高中的女孩。
“令人痛心的是,女孩左眼突然失明后并没有第一时间告知家长。”陈雪回忆,等到家长发现并带她前来就医时已过去三四天,错过了最佳救治窗口。“孩子的视力只有指数,且很难再恢复了,已经可以诊断为单眼盲。”

经检查,女孩眼底并未发现明确血栓。“她应该是因长期学习压力过大,家里也出现变故,长期处于紧张状态,导致视网膜血管痉挛引发了不可逆的缺血,等我们看到的时候整个视网膜的感光细胞已经全部萎缩了。”
医生表示该病有抢救黄金时间,视具体情况而定,有时是90分钟内,有时是6个小时、12个小时以内。上海第九人民医院医生表示,眼睛出现瞬间突发性的视力下降,多半是出现眼中风情况,要及时就医溶栓。

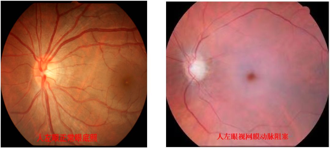
视网膜中央动脉阻塞是什么?
视网膜中央动脉阻塞又称为“眼中风”,是指视网膜中央动脉部分或全部堵塞。视网膜就像照相机的胶卷底片,它将照入眼内的光转换为电信号,通过视神经传送至大脑,我们才能“看到”周围的事物。

视网膜对局部缺氧极其敏感,新鲜的动脉血不能进入和滋养视网膜,就会发生无痛性的突然视力下降或丧失。这种视力下降在经过短暂的休息后不能缓解的。

哪些因素,会引发“眼中风”?
视网膜中央动脉阻塞多见于老年人。它的发生与高血压、颈动脉阻塞、糖尿病、心脏瓣膜疾病等全身疾病密切相关。老年人血管弹性下降,管壁硬化,再加上老年人常有各类基础病,很容易罹患“眼中风”。
除年龄外,还有许多因素与视网膜中央动脉阻塞的发病密切相关。
从高温环境骤然进入低温环境:
比如冬季从温暖的室内走出,骤然暴露于寒冷空气中,又或者在夏季从高温的室外进入低温空调房内。
高血压人群:
高血压是本病最常见的危险因素,大概67%的视网膜中央动脉阻塞患者的发病与高血压有关。高血压会导致血管内皮的损伤,形成的斑块破裂脱落在血管中顺流而下,就有可能阻塞视网膜血管,引发“眼中风”。
高血脂人群:
高血脂的人血液粘稠度高,血管内的脂质沉积可以造成血栓的形成。
吸烟人群:
吸烟会导致血管收缩痉挛,长期大量吸烟可能引起血管栓塞,从而引起“眼中风”。
长期过度用眼的人群:
需要长期电脑办公、生活作息不规律人群,眼睛长期处于紧张高压状态,也容易发生眼部疾患。
“眼中风”发作,应该如何自救及治疗?
单眼突发的视力下降,视力即刻或几分钟内完全消失,只能看见手指数目或者光感。有些患者曾有一过性的黑蒙(即暂时性的视力丧失,一般约1-2分钟),数分钟后可缓解。反复发作数次后,患者会突然视力严重下降。多数眼的视力降至眼前手动或数手指。部分患者曾有脑卒中病史、或者有一过性脑缺血性病变。
当以上“眼中风”症状出现时,即使视物模糊的症状暂时缓解,也不可犹豫,应立即前往医院。
眼中风作为眼科急诊,视网膜光感受器组织发生不可逆的损害多在视网膜缺血缺氧大于90分钟后发生,90分钟是视网膜中央动脉阻塞的黄金救治时间。白金治疗时间为6小时,最好不要超过24小时。
在到达医院前,可以立即进行一些自救措施,比如用手指按摩眼球,加压按摩10秒,突然松开手指5秒,如此反复10次左右,每次按摩15分钟,增加视网膜血管的灌注,或者有条件的患者还可以舌下含服硝酸甘油片。同时要放松心情,不要过于紧张,然后尽快赶往就近医院眼科急诊救治。

“眼中风”应如何预防?
要预防“眼中风”,必须防治高血压、血脂异常、糖尿病、肥胖和脉粥样硬化等危险因素。
落实到日常生活中:要控制体重或减肥、调整饮食结构、保持心理平衡和戒烟限酒等。留意面部潮红可能为中风前兆,避免用眼过度,不要熬夜,定期进行眼部、眼底检查。
注意劳逸结合,要参加适度的体育锻炼,如慢跑、散步、打太极拳,经常到户外活动,不要久蹲、久坐、久卧,以防血流滞缓而引发血管阻塞。
保持乐观情绪,防止因情绪激动,精神创伤而致血管突发痉挛,引起视网膜中央动脉阻塞。
综合新闻晨报、扬子晚报、健康时报
恒正网配资提示:文章来自网络,不代表本站观点。